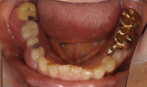
部分入れ歯(ノンクラスプデンチャー)の治療例 2024.06.02 2024.06.13 症状名:右側下顎臼歯部欠損 主訴 歯が無いので噛みにくい 原因 歯が無いことが原因と思われる 診査 型取りをして咬合器上で診査診断 レントゲンにて歯周組織の診断 診断 模型にて、咬合スペースは特に問題ない 噛み合わせのズレはなし 治療方法の選択肢 インプラント治療 ブリッジ 部分義歯(ノンクラスプデンチャー) 部分義歯(テレスコープ義歯) 患者様はノンクラスプデンチャーを選択。 リスク 取り外す必要がある。 クラスプの土台となる歯が、動揺する場合がある 症例写真 治療前 治療後 治療期間 1カ月 費用 165,000円(税込) 結果 審美的にも回復ができ問題なく咀嚼できるようになった。 ご予約・お問い合わせはこちら 浜松町院はこちら 診療時間 10:00 ~ 13:30 / 15:00~19:00休診日:日・祝日 火・木:午前診療のみ月・金:午後診療のみ 03-5422-1291 蒲田院はこちら 診療時間 10:00 ~ 13:30 / 15:00~19:30休診日:土・祝日 水:午後17:00まで日:9:00 ~ 12:00のみ 03-6715-8481 無料相談予約 歯科治療のご相談予約 Webでご予約 翌日以降の日付から Post Share Hatena Pocket RSS feedly Pin it 50代女性の治療例 前の記事 20代女性 前歯の色が気になる 次の記事