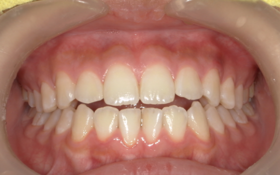
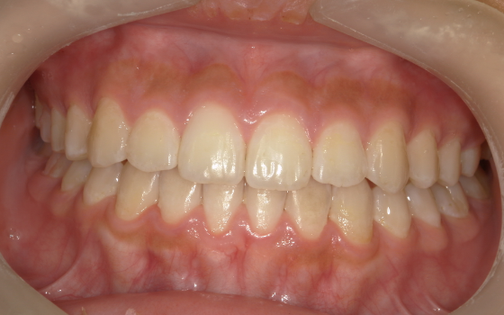
10代 女性開咬 2026.04.17 2026.04.17 症例写真 治療前 治療後 主訴 前歯で噛めない、左顎が痛い、審美性が気になる 要望 痛みがなくなることが第一優先 所感 不正咬合 顎関節症 左のかみ合わせが低い 治療 インビザラインにて矯正治療 治療のリスク 保定装置を正しく使用しないことによる後戻り 歯は摩耗するため、定期的に噛み合わせのメンテナンスを行う必要がある 期間 1年程度 治療費用 1,100,000円(税込) 治療費、検査費込 年齢 10代 女性 Post Share Hatena Pocket RSS feedly Pin it 30代女性 開咬 前の記事